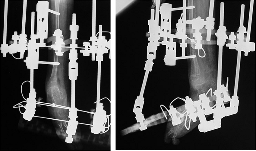
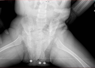
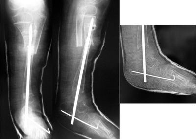
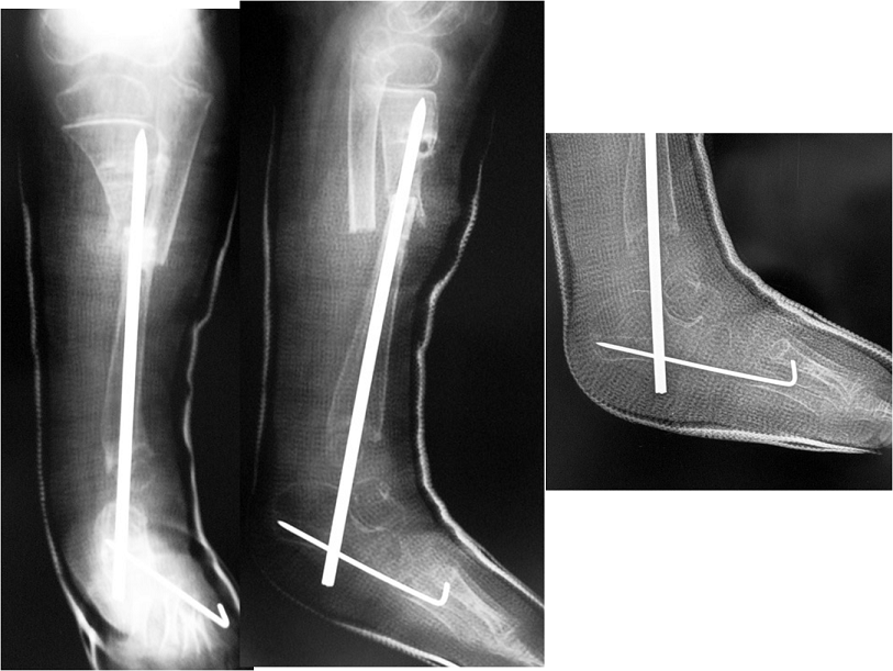
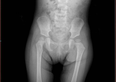
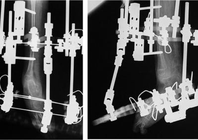
Congenital Pediatric Orthopedic DiseasesDec 30, 2021 | Case ExamplesBilateral GKD Case 1 Bilateral GKD Case 2 Bilateral GKD Case 3 Bilateral GKD Case 4 Congenital Clubfoot Fibuler Hemimeli Tibial Hemimeli PFFD